L’Aou di Sassari attiva un percorso terapeutico per il melanoma maligno.
[bing_translator]
Colpisce sia gli uomini sia le donne, i primi sul dorso e nella zona testa-collo, le seconde più spesso nel tronco, agli arti inferiori e nei piedi. Si tratta del melanoma maligno che, in Sardegna, fa registrare in media all’anno circa 180 nuovi casi. La sua comparsa è legata, in modo particolare, all’esposizione ai raggi ultravioletti e varia anche a seconda della sensibilità dei caratteri costituzionali del soggetto. Può manifestarsi su lesioni benigne già esistenti o con l’insorgenza di nuove lesioni.
È una patologia che ha una incidenza in rapidissima crescita a livello mondiale, con un incremento di circa 3-7 per cento all’anno, così anche in Sardegna, dove tocca valori che superano i 10 casi annui per 100.000 abitanti.
Ecco perché l’Aou di Sassari già da alcuni mesi ha attivato un percorso diagnostico terapeutico assistenziale (Pdta) dedicato al paziente con sospetto melanoma.
«Un percorso – spiega il direttore dell’unità operativa complessa di Anatomia Patologica professor Francesco Tanda – che nasce dall’esigenza di seguire con estrema attenzione i pazienti affetti da melanoma, con l’obiettivo di assicurare rapidità e massima precisione diagnostica, anche molecolare».
È evidente che la celerità di diagnosi consente di ottimizzare il trattamento, anche alla luce della sempre crescente anticipazione delle nuove forme di terapia medica, e può tradursi nella massima sopravvivenza possibile.
Il Pdta adottato dall’Aou di Sassari, inoltre, vuole assicurare anche attenzione alla fragilità dei pazienti e sensibilizzare la popolazione e i medici base.
L’accesso al Pdta, infatti, avviene sulla base di una diagnosi di “sospetto melanoma” formulata dal medico specialista che, con una impegnativa (ricetta rosa), richiede tramite Cup una visita negli ambulatori di Dermatologia dell’Aou di Sassari.
Il percorso vede in campo un team multidisciplinare che coinvolge le strutture dell’Aou di Sassari (Anatomia patologica, la Dermatologia, la Chirurgia plastica, la Chirurgia generale, l’Oncologia medica, la Psicologia ospedaliera, la Riabilitazione, la Medicina nucleare, le due Radiologie e la Radioterapia) e la struttura di Genetica molecolare del Cnr di Sassari.
Il team multidisciplinare si riunisce ogni 15 giorni nella sede di Anatomia patologica per la discussione dei nuovi casi di melanoma maligno istologicamente definiti con la relativa presa in carico del paziente nonché per gli aggiornamenti dei percorsi diagnostici e terapeutici dei casi precedentemente inseriti nel Pdta.
Il melanoma maligno interessa un’ampia fascia di età, compresi i giovani. Considerando la popolazione fino a 49 anni, negli uomini rappresenta il secondo tumore per frequenza dopo quello del testicolo e prima dei linfomi mentre per le donne è al terzo posto dopo i tumori della mammella e della tiroide. Come causa di mortalità per tumore è all’ottavo posto nelle diverse casistiche.
È una patologia che nell’ultimo decennio ha visto un enorme miglioramento nei risultati terapeutici, conseguenza della maggiore comprensione dei meccanismi di funzionamento della biologia dei melanociti e dello sviluppo e diffusione di terapie specifiche (immunoterapie e terapie a bersaglio molecolare o “target”). La sopravvivenza (USA) è passata dal 49 per cento, registrata negli anni cinquanta, a circa il 90 per cento attualmente.
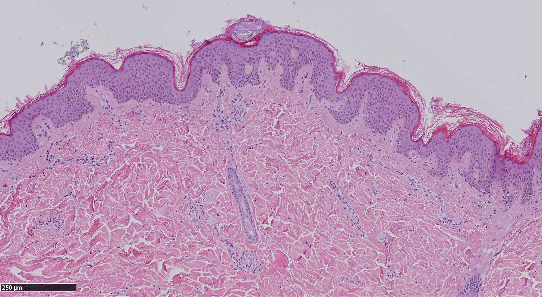
A Sassari, nella struttura di Anatomia Patologica nel 2018 sono stati diagnosticati 67 melanomi infiltranti, quando cioè la membrana basale dell’epidermide è superata ed è infiltrato il derma a vari livelli di profondità, e 30 in situ, cioè melanomi non invasivi contenuti nella membrana basale dell’epidermide. Dai dati a disposizione della struttura sassarese, la sopravvivenza a 5 anni è descritta con un range variabile nelle diverse realtà dal 75 per cento a circa il 90 per cento.

NO COMMENTS